雷射點痣—哪些情況適合雷射點痣?
![]()
一般人在考慮痣是否要點掉的時候經常會問到:這顆痣是好的還是壞的。其實他們的問題有兩種意思:
1. 在面相上這顆痣是不是凶痣。
2. 在醫學上這顆痣會不會變成惡性的。
好的還是壞的
其實只要你不迷信,所有的痣都是好的痣,不要為了命運去點痣,人的一生不是決定在一兩顆痣上面。
至於醫學上所說的惡性黑色素疾病,所指的就是黑色素細胞瘤,如果有懷疑是惡性的痣最好也不要點,因為既然懷疑是惡性的,就要切下來做化驗,如果點掉就死無對證,不知道它究竟是惡性的或是良性的了!惡性的痣細胞可能不會因為雷射而完全去除,留下殘餘的細胞還可能繼續蔓延轉移。
所幸黑色素細胞痣轉變為惡性的機會非常非常低,而且外觀上也有顯著的不同,可以幫助區分。所謂壞的痣需要點的就是影響外觀難看的痣。
哪些痣不能點?
無論是傳統的化學燒灼,或是現今的雷射去除,其實都是利用破壞的方式去除聚集的痣細胞,再利用周圍皮膚增生回復平面,所能處理的範圍都僅限於接近皮膚表層的痣細胞,所以
1. 太大的痣不能點,皮膚經過破壞需要周圍的組織增生回復平面,太大的範圍無法完全復原。
2. 太深的痣不能點,破壞的深度過深也可能造成傷口無法恢復而產生疤痕。
3. 肉痣不能點,沒有顏色供判斷,無法知道深度範圍,復發的機率極高。
4. 懷疑是惡性的不能點,雷射僅止於外觀上顏色的去除,無法保證完全去除可能潛在的細胞。

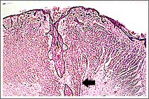
先天的色素細胞痣沿著毛囊分佈至皮下層,不適合用雷射治療
〔資料提供:趙彥宇邱慧嫻皮膚科聯合診所〕